
Moreover, local periodontists actively engage in community health initiatives. They participate in health fairs, school programs, and outreach events to raise awareness about oral health and preventive care. By educating the public, they empower individuals to take proactive steps towards maintaining their oral health. Additionally, local periodontists often provide pro bono services or flexible payment options, ensuring accessibility to essential dental care for all. Their commitment to community care underscores their role as trusted advocates for oral health, enhancing the quality of life within their communities.
Beyond specialized treatments, local periodontists play a pivotal role in patient education about maintaining oral health. They provide guidance on proper brushing and flossing techniques, stress the importance of regular dental check-ups, and discuss lifestyle choices impacting gum health. By empowering patients with knowledge, periodontists enable them to actively prevent periodontal disease and other oral health issues, promoting long-term oral hygiene habits that mitigate risks.
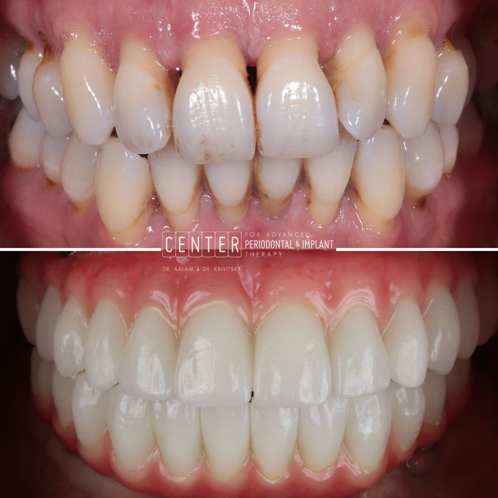
When it comes to maintaining oral health, finding a skilled and reliable periodontist is crucial. These specialists focus on preventing, diagnosing, and treating periodontal diseases, which affect the gums and supporting structures of the teeth. Patients rely on local periodontists for personalized care tailored to their specific needs, ensuring effective management of oral health concerns. The convenience of having a nearby periodontist facilitates timely intervention and ongoing maintenance, promoting optimal dental outcomes. Moreover, their integration into the community provides a familiar and dependable resource for dental care, fostering trust and continuity in patient relationships.
Education plays a pivotal role in the practice of gum dentists, as they strive to empower patients with knowledge and skills to maintain optimal oral health. Through comprehensive education programs, they equip patients with practical strategies for effective oral hygiene practices and preventive care measures. By promoting awareness of the importance of gum health and the potential consequences of neglecting it, gum dentists empower patients to become proactive partners in their oral health management. This proactive approach not only reduces the incidence of periodontal disease but also fosters a culture of prevention and wellness within the community.
One significant advantage of visiting a gum dentist is the personalized care patients receive. Gum dentists often establish long-term relationships with their patients, understanding their medical history and specific dental concerns. This familiarity allows for more accurate diagnoses and customized treatment plans. Moreover, gum dentists can offer continuity of care, ensuring that follow-up appointments and ongoing treatments are managed consistently. Being able to see the same specialist over time can enhance patient comfort and trust, which is particularly important in managing chronic conditions like periodontal disease. Patients are more likely to adhere to treatment plans and preventive measures when they feel a personal connection with their healthcare provider.
The services offered by gum dentists are multifaceted and tailored to address the diverse needs of their patients. Beyond traditional treatments like scaling and root planing, they employ innovative techniques such as laser therapy to target bacteria and promote gum tissue regeneration. Additionally, gum dentists are proficient in the placement of dental implants, offering a long-term solution for tooth loss that restores both function and aesthetics. Their comprehensive approach ensures that patients receive integrated care that addresses underlying issues while also enhancing the overall health and appearance of their smiles.
Explore the intricate workings of Los Angeles's government structure, from the mayor and city council to key departments and elected officials.
Posted by on
Discover the fluctuations in crime rates in Los Angeles over the years, from historic highs to recent challenges, including insights into organized crime and gang activity.
Posted by on
Dive into the dynamic media scene of Los Angeles, from major newspapers to local online guides, showcasing the city's rich cultural tapestry and diverse voices.
Posted by on
The personalized care provided by gum dentists is a cornerstone of their practice philosophy. By building strong patient-provider relationships, they create an environment of trust and collaboration where patients feel valued and heard. This patient-centered approach allows gum dentists to consider not only the immediate treatment needs but also the long-term goals and preferences of their patients. Whether it's discussing treatment options, addressing concerns, or providing ongoing support, gum dentists prioritize the individual needs of each patient, fostering a sense of empowerment and confidence in their oral health journey.
Overall, local periodontists exemplify excellence in oral healthcare through their expertise, compassion, and commitment to patient well-being. Their integral role in the dental community and dedication to community service make them invaluable assets in promoting oral health awareness and accessibility. By delivering comprehensive care and fostering patient partnerships, local periodontists contribute to healthier smiles and enhanced quality of life for individuals of all ages.
Choosing a local periodontist ensures access to specialized care that combines expertise, personalized attention, and community-oriented service. These specialists are dedicated to helping patients achieve optimal oral health through comprehensive treatment plans and preventive education. Prompt and effective management of gum health issues not only improves immediate dental health but also enhances overall well-being, ensuring long-lasting smiles. Beyond treatment, local periodontists forge partnerships with patients, supporting their journey towards sustained oral health. Collaborating closely with other dental professionals, they ensure holistic care that addresses all aspects of oral health needs, promoting both immediate and long-term dental wellness.

A gum dentist offers a range of services aimed at addressing various gum-related issues. These services include scaling and root planing, a deep cleaning procedure that removes plaque and tartar from below the gum line. Additionally, they perform periodontal surgeries, such as pocket reduction surgery, to eliminate bacteria and repair damaged tissue. Gum dentists also provide regenerative procedures to restore lost bone and tissue, enhancing both the function and aesthetics of the patient's mouth. These advanced treatments can prevent the progression of periodontal disease, avoiding more severe complications that might necessitate extensive dental work in the future. By employing the latest technology and techniques, gum dentists ensure that their patients receive the highest standard of care.
Choosing a local periodontist offers a blend of expertise, personalized care, and community-focused service. These specialists are dedicated to guiding their patients towards optimal oral health through tailored treatment plans and proactive education. By promptly and effectively addressing gum health issues, local periodontists significantly enhance their patients' overall well-being, ensuring enduring healthy smiles. Beyond treatment, they become partners in their community's quest for lasting oral health, collaborating seamlessly with other dental professionals to address all aspects of patients' oral care needs.
Local periodontists also play a vital role in community health initiatives. They often participate in local health fairs, school programs, and community outreach events to promote oral health awareness. By engaging with the community, they help to spread vital information about the importance of gum health and preventive care. These efforts contribute to a healthier population overall, as more people become aware of the steps they can take to maintain their oral health. Additionally, local periodontists may offer pro bono services or sliding scale fees to ensure that even those with limited financial resources have access to essential periodontal care. Their commitment to the community exemplifies the compassionate and comprehensive care they provide, reinforcing the importance of having a trusted local periodontist. By addressing disparities in healthcare access and providing valuable education, they help to bridge gaps in oral health care, ensuring that everyone in the community can achieve and maintain healthy gums and teeth.
When it comes to maintaining oral health, finding a skilled and reliable periodontist is crucial. Periodontists specialize in preventing, diagnosing, and treating periodontal disease, which affects the gums and the supporting structures of the teeth. They are also experts in the placement of dental implants, offering patients effective solutions for tooth loss. Local periodontists are often the first choice for personalized care, tailoring treatments to meet individual needs and ensuring efficient management of oral health. The accessibility of having a nearby periodontist can significantly impact ongoing maintenance and prompt treatment for emerging issues. Moreover, these professionals are integral parts of their communities, providing trusted and familiar dental care.
When considering the crucial role of gum dentists in oral health, it's essential to delve deeper into the breadth of their expertise and the comprehensive care they provide. Gum dentists specialize not only in treating existing gum issues but also in preventing future problems. They possess advanced knowledge of the intricate structures of the gums and teeth, enabling them to identify early signs of periodontal disease and intervene effectively. Moreover, their expertise extends to the management of complex cases, such as severe gum infections or cases requiring extensive tissue regeneration.
In addition to their specialized treatments, gum dentists play a crucial role in educating patients about maintaining oral health. They provide guidance on proper brushing and flossing techniques, the importance of regular dental check-ups, and lifestyle choices that can impact gum health. By educating their patients, gum dentists empower them to take an active role in preventing periodontal disease and other oral health issues. This educational aspect is vital in fostering long-term oral hygiene habits that can significantly reduce the risk of gum disease and other dental problems. Knowledgeable patients are better equipped to make informed decisions about their oral health, leading to better outcomes and reduced need for invasive procedures.

Choosing a gum dentist means benefiting from a combination of expertise, personalized care, and community-oriented service. These specialists are dedicated to helping their patients achieve optimal oral health through comprehensive treatment plans and preventive education. By addressing gum health issues promptly and effectively, gum dentists contribute significantly to the overall well-being of their patients, ensuring they maintain healthy smiles for years to come. Their role in the community extends beyond treatment; they become partners in their patients' journey towards lasting oral health, making a gum dentist an invaluable resource for anyone seeking to improve or maintain their dental well-being. Furthermore, gum dentists often collaborate with other dental professionals, creating a cohesive network of care that addresses all aspects of a patients oral health needs.
When it comes to maintaining oral health, having a skilled and dependable periodontist on your side is essential. Periodontists specialize in preventing, diagnosing, and treating periodontal disease, which affects the gums and the structures supporting teeth. They are also experts in dental implant placement, a common solution for tooth loss. Patients often rely on local periodontists for personalized care and tailored treatments, ensuring effective management of their oral health.
In addition to their specialized treatments, local periodontists play a vital role in patient education about oral health maintenance. They provide guidance on proper brushing and flossing techniques, stress the importance of regular dental check-ups, and discuss lifestyle choices impacting gum health. By empowering patients with knowledge, periodontists enable them to actively prevent periodontal disease and other oral health issues. This educational approach fosters long-term oral hygiene habits, significantly reducing the risk of gum disease and minimizing the need for invasive procedures. Periodontists often supplement education with resources like pamphlets, videos, and workshops to enhance patient understanding and engagement.
Local periodontists provide a wide range of services focused on addressing various gum-related concerns. These include scaling and root planing, a meticulous cleaning procedure that eliminates plaque and tartar from below the gum line. They also perform advanced periodontal surgeries such as pocket reduction surgery to eradicate bacteria and repair damaged tissue. Additionally, periodontists offer regenerative procedures that restore lost bone and tissue, improving both oral function and aesthetics. By employing cutting-edge technology and techniques, such as laser treatments and minimally invasive surgeries, they ensure patients receive the highest standard of care and optimal outcomes.
One significant advantage of choosing a local periodontist is the personalized care they offer. Establishing long-term relationships with patients, they gain a deep understanding of medical histories and specific dental concerns, enabling precise diagnoses and customized treatment plans. This continuity of care ensures consistent management through follow-up appointments and ongoing treatments, fostering patient comfort and trust, especially crucial in managing chronic conditions like periodontal disease.
Local periodontists offer a wide range of services aimed at addressing various gum-related issues. These include deep cleaning procedures like scaling and root planing to remove plaque and tartar from below the gum line. They also perform surgical interventions such as pocket reduction surgery to eliminate bacteria and restore damaged tissue. Advanced treatments, including regenerative procedures to enhance bone and tissue growth, further improve oral function and aesthetics. By employing state-of-the-art techniques and technologies, such as laser treatments and minimally invasive surgeries, local periodontists ensure superior treatment outcomes and patient comfort.
A: Periodontists offer a variety of treatments including scaling and root planing (deep cleaning), root surface debridement, surgical procedures such as pocket reduction surgery, regenerative procedures, and the placement and maintenance of dental implants. They also treat severe gum disease and manage oral inflammation.
A: You should see a periodontist if you have symptoms of gum disease such as swollen, bleeding gums, persistent bad breath, loose teeth, or receding gums. Additionally, if you require dental implants or have a complex case that involves the supporting structures of your teeth, a periodontist’s expertise is beneficial.
A: During your first visit, the gum dentist will review your dental and medical history, perform a comprehensive examination of your gums, and may take x-rays to assess bone health. They will measure the depth of the pockets around your teeth to evaluate the severity of any gum disease and discuss potential treatment options with you.
A: Early stages of gum disease, known as gingivitis, can often be reversed with proper oral hygiene and professional cleanings. However, more advanced stages, known as periodontitis, can be managed but not fully reversed. Treatment aims to control the infection and prevent further damage.