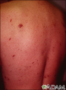
Sarcoma de Kaposi en la espalda
   
Sarcoma de Kaposi en la espalda

El sarcoma de Kaposi solía ser una malignidad rara de los vasos sanguíneos, pero ahora se le asocia con el SIDA y ocurre más frecuentemente en hombres homosexuales que en drogadictos por vía intravenosa. Una investigación reciente sugiere que puede ser ocasionado por un virus del herpes descubierto hace poco. Esta malignidad se traduce en lesiones de color purpúreo y en forma de uva que cubren la piel, el tracto gastrointestinal y otros órganos.


Actualizado: 10/6/2012
Versión en inglés revisada por: David C. Dugdale, III, MD, Professor of Medicine, Division of General Medicine, Department of Medicine, University of Washington School of Medicine. Jatin M. Vyas, MD, PhD, Assistant Professor in Medicine, Harvard Medical School; Assistant in Medicine, Division of Infectious Disease, Department of Medicine, Massachusetts General Hospital. Also reviewed by David Zieve, MD, MHA, Medical Director, A.D.A.M. Health Solutions, Ebix, Inc.
Traducción y localización realizada por: DrTango, Inc.
La información aquí contenida no debe utilizarse durante ninguna emergencia médica, ni para el diagnóstico o tratamiento de alguna condición médica. Debe consultarse a un médico con licencia para el diagnóstico y tratamiento de todas y cada una de las condiciones médicas. En caso de una emergencia médica, llame al 911. Los enlaces a otros sitios se proporcionan sólo con fines de información, no significa que se les apruebe. © 1997- A.D.A.M., Inc. La reproducción o distribución parcial o total de la información aquí contenida está terminantemente prohibida.
adam.com
© 1997- adam.com Todos los derechos son reservados