Aspergilosis - radiografía de tórax
   
Aspergilosis - radiografía de tórax

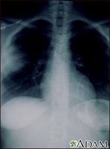
La aspergilosis es una infección micótica en la cual un hongo invade y destruye el tejido. Este tipo de infección normalmente se presenta en individuos inmunocomprometidos. En este caso, la radiografía de tórax muestra que el hongo ha invadido el tejido pulmonar. En una radiografía, los pulmones generalmente se ven como áreas oscuras y la opacidad en el lado izquierdo de esta radiografía se debe a la presencia del hongo.


Actualizado: 8/15/2012
Versión en inglés revisada por: David C. Dugdale, III, MD, Professor of Medicine, Division of General Medicine, Department of Medicine, University of Washington School of Medicine. Jatin M. Vyas, MD, PhD, Assistant Professor in Medicine, Harvard Medical School; Assistant in Medicine, Division of Infectious Disease, Department of Medicine, Massachusetts General Hospital. Also reviewed by David Zieve, MD, MHA, Medical Director, A.D.A.M. Health Solutions, Ebix, Inc.
Traducción y localización realizada por: DrTango, Inc.
La información aquí contenida no debe utilizarse durante ninguna emergencia médica, ni para el diagnóstico o tratamiento de alguna condición médica. Debe consultarse a un médico con licencia para el diagnóstico y tratamiento de todas y cada una de las condiciones médicas. En caso de una emergencia médica, llame al 911. Los enlaces a otros sitios se proporcionan sólo con fines de información, no significa que se les apruebe. © 1997- A.D.A.M., Inc. La reproducción o distribución parcial o total de la información aquí contenida está terminantemente prohibida.
adam.com
© 1997- adam.com Todos los derechos son reservados