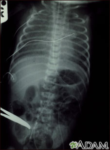
Retorno venoso pulmonar total anómalo, rayos X
   
Retorno venoso pulmonar total anómalo, rayos X

El retorno venoso pulmonar totalmente anómalo es una forma de enfermedad cardíaca congénita.


Actualizado: 12/1/2011
Versión en inglés revisada por: Kurt R. Schumacher, MD, Pediatric Cardiology, University of Michigan Congenital Heart Center, Ann Arbor, MI. Review provided by VeriMed Healthcare Network. Also reviewed by David Zieve, MD, MHA, Medical Director, A.D.A.M., Inc.
Traducción y localización realizada por: DrTango, Inc.
La información aquí contenida no debe utilizarse durante ninguna emergencia médica, ni para el diagnóstico o tratamiento de alguna condición médica. Debe consultarse a un médico con licencia para el diagnóstico y tratamiento de todas y cada una de las condiciones médicas. En caso de una emergencia médica, llame al 911. Los enlaces a otros sitios se proporcionan sólo con fines de información, no significa que se les apruebe. © 1997- A.D.A.M., Inc. La reproducción o distribución parcial o total de la información aquí contenida está terminantemente prohibida.
adam.com
© 1997- adam.com Todos los derechos son reservados