Pulmonía aguda por varicela - Rayos X de tórax
   
Pulmonía aguda por varicela - Rayos X de tórax

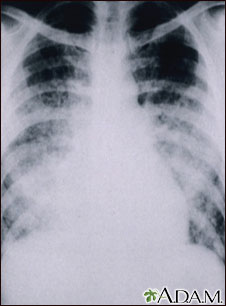
Esta radiografía muestra nubosidad en los pulmones debido a una neumonía aguda posterior a varicela. La neumonía rara vez se presenta como complicación de la varicela en los niños, pero sí ocurre en una quinta parte de los adultos.


Actualizado: 8/2/2011
Versión en inglés revisada por: Neil K. Kaneshiro, MD, MHA, Clinical Assistant Professor of Pediatrics, University of Washington School of Medicine. Also reviewed by David Zieve, MD, MHA, Medical Director, A.D.A.M., Inc.
Traducción y localización realizada por: DrTango, Inc.
La información aquí contenida no debe utilizarse durante ninguna emergencia médica, ni para el diagnóstico o tratamiento de alguna condición médica. Debe consultarse a un médico con licencia para el diagnóstico y tratamiento de todas y cada una de las condiciones médicas. En caso de una emergencia médica, llame al 911. Los enlaces a otros sitios se proporcionan sólo con fines de información, no significa que se les apruebe. © 1997- A.D.A.M., Inc. La reproducción o distribución parcial o total de la información aquí contenida está terminantemente prohibida.
adam.com
© 1997- adam.com Todos los derechos son reservados