Mononucleosis, microfotografía de la célula
   
Mononucleosis, microfotografía de la célula

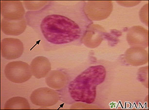
Esta imagen muestra linfocitos (un tipo de glóbulos blancos) atípicos grandes, los cuales son un hallazgo común en las enfermedades virales, en especial las causadas por el virus de Epstein Barr (responsable de la mononucleosis infecciosa), las enfermedades por citomegalovirus y, en ocasiones, la hepatitis infecciosa. Aquí se observa un ejemplo de una célula de Downey tipo I.


Actualizado: 8/15/2012
Versión en inglés revisada por: David C. Dugdale, III, MD, Professor of Medicine, Division of General Medicine, Department of Medicine, University of Washington School of Medicine. Jatin M. Vyas, MD, PhD, Assistant Professor in Medicine, Harvard Medical School; Assistant in Medicine, Division of Infectious Disease, Department of Medicine, Massachusetts General Hospital. Also reviewed by David Zieve, MD, MHA, Medical Director, A.D.A.M. Health Solutions, Ebix, Inc.
Traducción y localización realizada por: DrTango, Inc.
La información aquí contenida no debe utilizarse durante ninguna emergencia médica, ni para el diagnóstico o tratamiento de alguna condición médica. Debe consultarse a un médico con licencia para el diagnóstico y tratamiento de todas y cada una de las condiciones médicas. En caso de una emergencia médica, llame al 911. Los enlaces a otros sitios se proporcionan sólo con fines de información, no significa que se les apruebe. © 1997- A.D.A.M., Inc. La reproducción o distribución parcial o total de la información aquí contenida está terminantemente prohibida.
adam.com
© 1997- adam.com Todos los derechos son reservados