Ultrasonido de un feto normal; ventrículos cerebrales
   
Ultrasonido de un feto normal; ventrículos cerebrales

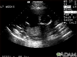
Ultrasonido normal a las 17 semanas de gestación. El cerebro y el sistema nervioso comienzan a desarrollarse con prontitud en la vida del feto. Al realizar un ultrasonido, el técnico por lo general busca la presencia de los ventrículos cerebrales, los cuales son los espacios llenos de líquido en el interior del cerebro. En este ultrasonido los ventrículos pueden observarse en la parte superior derecha en forma de líneas finas que se extienden a través del cráneo. La cruz apunta hacia la parte frontal del cráneo y a su derecha se pueden observar las líneas de los ventrículos.


Actualizado: 11/8/2012
Versión en inglés revisada por: Susan Storck, MD, FACOG, Chief, Eastside Department of Obstetrics and Gynecology, Group Health Cooperative of Puget Sound, Bellevue, Washington; Clinical Teaching Faculty, Department of Obstetrics and Gynecology, University of Washington School of Medicine. Also reviewed by A.D.A.M. Health Solutions, Ebix, Inc., Editorial Team: David Zieve, MD, MHA, David R. Eltz, Stephanie Slon, and Nissi Wang.
Traducción y localización realizada por: DrTango, Inc.
La información aquí contenida no debe utilizarse durante ninguna emergencia médica, ni para el diagnóstico o tratamiento de alguna condición médica. Debe consultarse a un médico con licencia para el diagnóstico y tratamiento de todas y cada una de las condiciones médicas. En caso de una emergencia médica, llame al 911. Los enlaces a otros sitios se proporcionan sólo con fines de información, no significa que se les apruebe. © 1997- A.D.A.M., Inc. La reproducción o distribución parcial o total de la información aquí contenida está terminantemente prohibida.
adam.com
© 1997- adam.com Todos los derechos son reservados