Ultrasonido normal , placenta relajada
   
Ultrasonido normal , placenta relajada

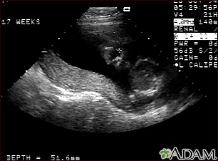
Ultrasonido normal a las 19 semanas de gestación que muestra dos características interesantes. En primer plano, en el centro de la pantalla, se puede observar la placenta siguiendo la curvatura del útero. Al fondo y a la derecha, en el lugar que señala la cruz, se aprecia el rostro con todas las características faciales.


Actualizado: 8/20/2012
Versión en inglés revisada por: A.D.A.M. Health Solutions, Ebix, Inc., Editorial Team: David Zieve, MD, MHA, and David R. Eltz. Previously reviewed by Linda Vorvick, MD, Seattle Site Coordinator, Lecturer, Pathophysiology, MEDEX Northwest Division of Physician Assistant Studies, University of Washington School of Medicine; and Susan Storck, MD, FACOG, Chief, Eastside Department of Obstetrics and Gynecology, Group Health Cooperative of Puget Sound, Redmond, Washington; Clinical Teaching Faculty, Department of Obstetrics and Gynecology, University of Washington School of Medicine (9/12/2011).
Traducción y localización realizada por: DrTango, Inc.
La información aquí contenida no debe utilizarse durante ninguna emergencia médica, ni para el diagnóstico o tratamiento de alguna condición médica. Debe consultarse a un médico con licencia para el diagnóstico y tratamiento de todas y cada una de las condiciones médicas. En caso de una emergencia médica, llame al 911. Los enlaces a otros sitios se proporcionan sólo con fines de información, no significa que se les apruebe. © 1997- A.D.A.M., Inc. La reproducción o distribución parcial o total de la información aquí contenida está terminantemente prohibida.
adam.com
© 1997- adam.com Todos los derechos son reservados