Ultrasonido de una placenta normal - Braxton Hicks
   
Ultrasonido de una placenta normal - Braxton Hicks

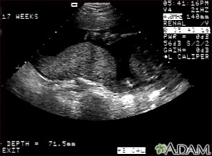
Ultrasonido normal a las 17 semanas de gestación que muestra la placenta durante una contracción normal, denominada contracción de Braxton Hicks, la cual es una de las contracciones que el útero experimenta periódicamente a través del embarazo para facilitar un mejor flujo sanguíneo hacia la placenta y el feto. En este ultrasonido la placenta aparece como un objeto con forma de montículo en el centro de la pantalla y puede observarse un objeto redondeado en la parte inferior de la imagen que corresponde a una vértebra materna. La placenta se ve mucho más aplanada cuando el útero no se está contrayendo.


Actualizado: 11/8/2012
Versión en inglés revisada por: Susan Storck, MD, FACOG, Chief, Eastside Department of Obstetrics and Gynecology, Group Health Cooperative of Puget Sound, Bellevue, Washington; Clinical Teaching Faculty, Department of Obstetrics and Gynecology, University of Washington School of Medicine. Also reviewed by A.D.A.M. Health Solutions, Ebix, Inc., Editorial Team: David Zieve, MD, MHA, David R. Eltz, Stephanie Slon, and Nissi Wang.
Traducción y localización realizada por: DrTango, Inc.
La información aquí contenida no debe utilizarse durante ninguna emergencia médica, ni para el diagnóstico o tratamiento de alguna condición médica. Debe consultarse a un médico con licencia para el diagnóstico y tratamiento de todas y cada una de las condiciones médicas. En caso de una emergencia médica, llame al 911. Los enlaces a otros sitios se proporcionan sólo con fines de información, no significa que se les apruebe. © 1997- A.D.A.M., Inc. La reproducción o distribución parcial o total de la información aquí contenida está terminantemente prohibida.
adam.com
© 1997- adam.com Todos los derechos son reservados