Eritroblastosis fetal- foto micrografía
   
Eritroblastosis fetal- foto micrografía

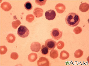
Los anticuerpos provenientes de una madre Rh negativa pueden ingresar al torrente sanguíneo del feto Rh positivo y dañar sus glóbulos rojos (GR). La respuesta fetal consiste en incrementar la producción de GR y enviar al torrente sanguíneo GR inmaduros que contienen núcleos. Esta fotografía muestra GR normales, GR lesionados y GR inmaduros que aún contienen sus núcleos.


Actualizado: 11/14/2011
Versión en inglés revisada por: Kimberly G. Lee, MD, MSc, IBCLC, Associate Professor of Pediatrics, Division of Neonatology, Medical University of South Carolina, Charleston, SC. Review Provided by VeriMed Healthcare Network. Also reviewed by David Zieve, MD, MHA, Medical Director, A.D.A.M., Inc.
Traducción y localización realizada por: DrTango, Inc.
La información aquí contenida no debe utilizarse durante ninguna emergencia médica, ni para el diagnóstico o tratamiento de alguna condición médica. Debe consultarse a un médico con licencia para el diagnóstico y tratamiento de todas y cada una de las condiciones médicas. En caso de una emergencia médica, llame al 911. Los enlaces a otros sitios se proporcionan sólo con fines de información, no significa que se les apruebe. © 1997- A.D.A.M., Inc. La reproducción o distribución parcial o total de la información aquí contenida está terminantemente prohibida.
adam.com
© 1997- adam.com Todos los derechos son reservados