Masa pulmonar, pulmón superior derecho - Radiografía de tórax
   
Masa pulmonar, pulmón superior derecho - Radiografía de tórax

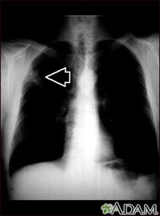
Radiografía del tórax de una persona con una masa pulmonar. Esta es una vista frontal, donde los pulmones son las dos áreas oscuras y el corazón y las otras estructuras son visibles en el centro del tórax. La radiografía muestra una masa en la parte superior del pulmón derecho, marcada por una flecha (al lado izquierdo de la imagen).


Actualizado: 8/30/2012
Versión en inglés revisada por: David C. Dugdale, III, MD, Professor of Medicine, Division of General Medicine, Department of Medicine, University of Washington School of Medicine; Denis Hadjiliadis, MD, Assistant Professor of Medicine, Division of Pulmonary, Allergy and Critical Care, University of Pennsylvania, Philadelphia, PA. Also reviewed by David Zieve, MD, MHA, Medical Director, A.D.A.M. Health Solutions, Ebix, Inc.
Traducción y localización realizada por: DrTango, Inc.
La información aquí contenida no debe utilizarse durante ninguna emergencia médica, ni para el diagnóstico o tratamiento de alguna condición médica. Debe consultarse a un médico con licencia para el diagnóstico y tratamiento de todas y cada una de las condiciones médicas. En caso de una emergencia médica, llame al 911. Los enlaces a otros sitios se proporcionan sólo con fines de información, no significa que se les apruebe. © 1997- A.D.A.M., Inc. La reproducción o distribución parcial o total de la información aquí contenida está terminantemente prohibida.
adam.com
© 1997- adam.com Todos los derechos son reservados