Cáncer bronquial - radiografía de tórax
   
Cáncer bronquial - radiografía de tórax

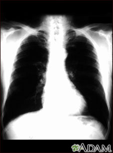
Ésta es una radiografía de tórax de una persona con cáncer bronquial. En esta vista frontal, los pulmones aparecen como dos áreas oscuras y el corazón y otras estructuras como las áreas claras visibles en la mitad del tórax. Las áreas claras que aparecen como ramificaciones sutiles extendiéndose desde el centro hacia los pulmones son cancerosas.


Actualizado: 8/24/2011
Versión en inglés revisada por: David C. Dugdale, III, MD, Professor of Medicine, Division of General Medicine, Department of Medicine, University of Washington School of Medicine; and Yi-Bin Chen, MD, Leukemia/Bone Marrow Transplant Program, Massachusetts General Hospital. Also reviewed by David Zieve, MD, MHA, Medical Director, A.D.A.M., Inc.
Traducción y localización realizada por: DrTango, Inc.
La información aquí contenida no debe utilizarse durante ninguna emergencia médica, ni para el diagnóstico o tratamiento de alguna condición médica. Debe consultarse a un médico con licencia para el diagnóstico y tratamiento de todas y cada una de las condiciones médicas. En caso de una emergencia médica, llame al 911. Los enlaces a otros sitios se proporcionan sólo con fines de información, no significa que se les apruebe. © 1997- A.D.A.M., Inc. La reproducción o distribución parcial o total de la información aquí contenida está terminantemente prohibida.
adam.com
© 1997- adam.com Todos los derechos son reservados