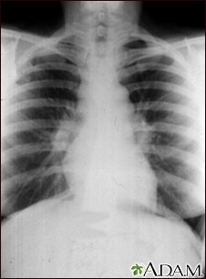
Sarcoidosis, estado I - radiografía de tórax
   
Sarcoidosis, estado I - radiografía de tórax

La sarcoidosis es principalmente una en enfermedad pulmonar. Cuando se encuentra en sus etapas tempranas, la radiografía torácica puede mostrar ganglios linfáticos agrandados en el centro del pecho, cerca del corazón (mediastino).


Actualizado: 8/28/2012
Versión en inglés revisada por: Luc Jasmin, MD, PhD, Department of Neurosurgery at Cedars-Sinai Medical Center, Los Angeles, and Department of Anatomy at UCSF, San Francisco, CA. Review provided by VeriMed Healthcare Network. David C. Dugdale, III, MD, Professor of Medicine, Division of General Medicine, Department of Medicine, University of Washington School of Medicine. Also reviewed by David Zieve, MD, MHA, Medical Director, A.D.A.M. Health Solutions, Ebix, Inc.
Traducción y localización realizada por: DrTango, Inc.
La información aquí contenida no debe utilizarse durante ninguna emergencia médica, ni para el diagnóstico o tratamiento de alguna condición médica. Debe consultarse a un médico con licencia para el diagnóstico y tratamiento de todas y cada una de las condiciones médicas. En caso de una emergencia médica, llame al 911. Los enlaces a otros sitios se proporcionan sólo con fines de información, no significa que se les apruebe. © 1997- A.D.A.M., Inc. La reproducción o distribución parcial o total de la información aquí contenida está terminantemente prohibida.
adam.com
© 1997- adam.com Todos los derechos son reservados