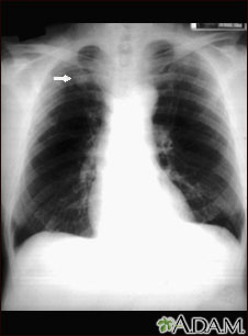
Nódulo pulmonar; vista frontal en placa de rayos X de tórax
   
Nódulo pulmonar; vista frontal en placa de rayos X de tórax

Esta radiografía muestra una sola lesión (nódulo pulmonar) en la parte superior del pulmón derecho (se puede observar como un área clara al lado izquierdo de la imagen). El nódulo tiene bordes bien definidos y es uniforme en cuanto a densidad. La tuberculosis (TBC) y otras enfermedades pueden ocasionar esta clase de lesión.


Actualizado: 8/15/2012
Versión en inglés revisada por: David Zieve, MD, MHA, Medical Director, A.D.A.M. Health Solutions, Ebix, Inc. Jatin M. Vyas, MD, PhD, Assistant Professor in Medicine, Harvard Medical School; Assistant in Medicine, Division of Infectious Disease, Department of Medicine, Massachusetts General Hospital.
Traducción y localización realizada por: DrTango, Inc.
La información aquí contenida no debe utilizarse durante ninguna emergencia médica, ni para el diagnóstico o tratamiento de alguna condición médica. Debe consultarse a un médico con licencia para el diagnóstico y tratamiento de todas y cada una de las condiciones médicas. En caso de una emergencia médica, llame al 911. Los enlaces a otros sitios se proporcionan sólo con fines de información, no significa que se les apruebe. © 1997- A.D.A.M., Inc. La reproducción o distribución parcial o total de la información aquí contenida está terminantemente prohibida.
adam.com
© 1997- adam.com Todos los derechos son reservados