Tuberculosis avanzada, radiografía de tórax
   
Tuberculosis avanzada, radiografía de tórax

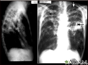
La tuberculosis es una enfermedad infecciosa que causa inflamaciones, formación de tubérculos y la aparición de otras expansiones tisulares que pueden causar necrosis tisular. Estas radiografías de tórax muestran una tuberculosis pulmonar avanzada en la cual se observan varias áreas claras (opacidades) de diferentes tamaños, unidas unas con las otras (coalescencia). Las flechas señalan la localización de las cavidades de estas áreas claras. La radiografía de la izquierda muestra claramente que las opacidades están localizadas en el área superior de los pulmones, vistas desde la parte posterior. Esta es la apariencia típica de la tuberculosis pulmonar crónica, pero también puede ocurrir en la histiocitosis pulmonar crónica y en la coccidioidomicosis pulmonar crónica. La tuberculosis pulmonar está reapareciendo nuevamente con una mayor resistencia que la hace difícil de tratar; la tuberculosis pulmonar es la forma más común de la enfermedad, aunque otros órganos también pueden ser infectados.


Actualizado: 12/6/2011
Versión en inglés revisada por: David C. Dugdale, III, MD, Professor of Medicine, Division of General Medicine, Department of Medicine, University of Washington School of Medicine; Jatin M. Vyas, MD, PhD, Assistant Professor in Medicine, Harvard Medical School, Assistant in Medicine, Division of Infectious Disease, Department of Medicine, Massachusetts General Hospital. Also reviewed by David Zieve, MD, MHA, Medical Director, A.D.A.M., Inc.
Traducción y localización realizada por: DrTango, Inc.
La información aquí contenida no debe utilizarse durante ninguna emergencia médica, ni para el diagnóstico o tratamiento de alguna condición médica. Debe consultarse a un médico con licencia para el diagnóstico y tratamiento de todas y cada una de las condiciones médicas. En caso de una emergencia médica, llame al 911. Los enlaces a otros sitios se proporcionan sólo con fines de información, no significa que se les apruebe. © 1997- A.D.A.M., Inc. La reproducción o distribución parcial o total de la información aquí contenida está terminantemente prohibida.
adam.com
© 1997- adam.com Todos los derechos son reservados