Neumoconiosis en trabajadores del carbón; complicada #2
   
Neumoconiosis en trabajadores del carbón; complicada #2

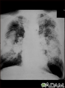
Esta imagen muestra la neumoconiosis complicada del minero. En la parte superior y media de ambos pulmones, hay áreas difusas, masivas y claras que corren paralelas y están superpuestas a un fondo de pequeñas áreas claras, difusas y difíciles de distinguir, que cubren ambos pulmones. Las enfermedades que pueden explicar estos hallazgos en una radiografía son la neumoconiosis complicada del minero (NCM), silicotuberculosis, y cáncer metastásico de pulmón.


Actualizado: 6/5/2012
Versión en inglés revisada por: David C. Dugdale, III, MD, Professor of Medicine, Division of General Medicine, Department of Medicine, University of Washington School of Medicine. Yi-Bin Chen, MD, Leukemia/Bone Marrow Transplant Program, Massachusetts General Hospital. Also reviewed by David Zieve, MD, MHA, Medical Director, A.D.A.M. Health Solutions, Ebix, Inc.
Traducción y localización realizada por: DrTango, Inc.
La información aquí contenida no debe utilizarse durante ninguna emergencia médica, ni para el diagnóstico o tratamiento de alguna condición médica. Debe consultarse a un médico con licencia para el diagnóstico y tratamiento de todas y cada una de las condiciones médicas. En caso de una emergencia médica, llame al 911. Los enlaces a otros sitios se proporcionan sólo con fines de información, no significa que se les apruebe. © 1997- A.D.A.M., Inc. La reproducción o distribución parcial o total de la información aquí contenida está terminantemente prohibida.
adam.com
© 1997- adam.com Todos los derechos son reservados