Neumoconiosis complicada del minero
   
Neumoconiosis complicada del minero

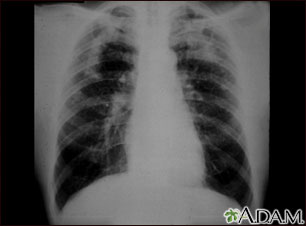
Esta imagen muestra la neumoconiosis complicada del minero. A ambos lados del pulmón hay áreas difusas, pequeñas (de 3 a 5 mm.) y claras. Hay áreas claras grandes junto a los bordes poco definidos en la parte superior de ambos pulmones. Las enfermedades que pueden explicar estos hallazgos en una radiografía son la neumoconiosis complicada del minero (NCM), silicotuberculosis, tuberculosis diseminada, cáncer metastásico de pulmón y otras enfermedades pulmonares infiltrativas difusas.


Actualizado: 3/3/2012
Versión en inglés revisada por: David C. Dugdale, III, MD, Professor of Medicine, Division of General Medicine, Department of Medicine, University of Washington School of Medicine; and Denis Hadjiliadis, MD, Assistant Professor of Medicine, Division of Pulmonary, Allergy and Critical Care, University of Pennsylvania, Philadelphia, PA. Also reviewed by David Zieve, MD, MHA, Medical Director, A.D.A.M. Health Solutions, Ebix, Inc.
Traducción y localización realizada por: DrTango, Inc.
La información aquí contenida no debe utilizarse durante ninguna emergencia médica, ni para el diagnóstico o tratamiento de alguna condición médica. Debe consultarse a un médico con licencia para el diagnóstico y tratamiento de todas y cada una de las condiciones médicas. En caso de una emergencia médica, llame al 911. Los enlaces a otros sitios se proporcionan sólo con fines de información, no significa que se les apruebe. © 1997- A.D.A.M., Inc. La reproducción o distribución parcial o total de la información aquí contenida está terminantemente prohibida.
adam.com
© 1997- adam.com Todos los derechos son reservados