Neumoconiosis del minero en etapa II
   
Neumoconiosis del minero en etapa II

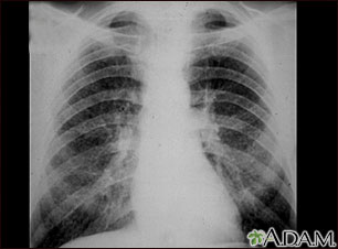
Esta radiografía de tórax muestra la neumoconiosis del minero etapa II (CWP, por sus siglas en inglés). A ambos lados del pulmón hay áreas difusas, pequeñas y claras. Otras enfermedades que pueden explicar estos hallazgos en una radiografía son, entre otras: la silicosis simple, la tuberculosis diseminada, cáncer metastásico de pulmón y otras enfermedades pulmonares infiltrativas y difusas.


Actualizado: 3/3/2012
Versión en inglés revisada por: David C. Dugdale, III, MD, Professor of Medicine, Division of General Medicine, Department of Medicine, University of Washington School of Medicine; and Denis Hadjiliadis, MD, Assistant Professor of Medicine, Division of Pulmonary, Allergy and Critical Care, University of Pennsylvania, Philadelphia, PA. Also reviewed by David Zieve, MD, MHA, Medical Director, A.D.A.M. Health Solutions, Ebix, Inc.
Traducción y localización realizada por: DrTango, Inc.
La información aquí contenida no debe utilizarse durante ninguna emergencia médica, ni para el diagnóstico o tratamiento de alguna condición médica. Debe consultarse a un médico con licencia para el diagnóstico y tratamiento de todas y cada una de las condiciones médicas. En caso de una emergencia médica, llame al 911. Los enlaces a otros sitios se proporcionan sólo con fines de información, no significa que se les apruebe. © 1997- A.D.A.M., Inc. La reproducción o distribución parcial o total de la información aquí contenida está terminantemente prohibida.
adam.com
© 1997- adam.com Todos los derechos son reservados