Coccidioidomicosis - radiografía de tórax
   
Coccidioidomicosis - radiografía de tórax

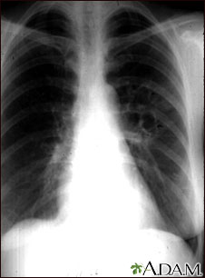
Esta radiografía de tórax muestra los efectos de una infección micótica, la coccidioidomicosis. En el centro del pulmón izquierdo (visto en el lado derecho de la figura) hay múltiples cavidades de pared delgada (vistas como áreas claras de la imagen) con un diámetro de 2 a 4 centímetros. Al lado de estas áreas claras, se encuentran áreas de parches claros con bordes irregulares y poco definidos.

Otras enfermedades que pueden explicar estos hallazgos en una radiografía son, entre otras: abscesos pulmonares, tuberculosis pulmonar crónica, histoplasmosis pulmonar crónica y otras.


Actualizado: 8/15/2012
Versión en inglés revisada por: David Zieve, MD, MHA, Medical Director, A.D.A.M. Health Solutions, Ebix, Inc. Jatin M. Vyas, MD, PhD, Assistant Professor in Medicine, Harvard Medical School; Assistant in Medicine, Division of Infectious Disease, Department of Medicine, Massachusetts General Hospital.
Traducción y localización realizada por: DrTango, Inc.
La información aquí contenida no debe utilizarse durante ninguna emergencia médica, ni para el diagnóstico o tratamiento de alguna condición médica. Debe consultarse a un médico con licencia para el diagnóstico y tratamiento de todas y cada una de las condiciones médicas. En caso de una emergencia médica, llame al 911. Los enlaces a otros sitios se proporcionan sólo con fines de información, no significa que se les apruebe. © 1997- A.D.A.M., Inc. La reproducción o distribución parcial o total de la información aquí contenida está terminantemente prohibida.
adam.com
© 1997- adam.com Todos los derechos son reservados