Pulmones de un trabajador del carbón; rayos X
   
Pulmones de un trabajador del carbón; rayos X

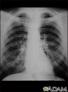
Esta radiografía de tórax muestra los pulmones de un minero. A ambos lados de los pulmones hay áreas difusas, pequeñas (de 1 a 3 mm. cada una) y claras. Las enfermedades que pueden explicar estos hallazgos en una radiografía son la neumoconiosis del minero (NCM) etapa I, silicosis simple, tuberculosis miliar, histiocitosis X (granuloma eosinofílico) y otras enfermedades pulmonares infiltrativas difusas.


Actualizado: 12/6/2011
Versión en inglés revisada por: David C. Dugdale, III, MD, Professor of Medicine, Division of General Medicine, Department of Medicine, University of Washington School of Medicine; Jatin M. Vyas, MD, PhD, Assistant Professor in Medicine, Harvard Medical School, Assistant in Medicine, Division of Infectious Disease, Department of Medicine, Massachusetts General Hospital. Also reviewed by David Zieve, MD, MHA, Medical Director, A.D.A.M., Inc.
Traducción y localización realizada por: DrTango, Inc.
La información aquí contenida no debe utilizarse durante ninguna emergencia médica, ni para el diagnóstico o tratamiento de alguna condición médica. Debe consultarse a un médico con licencia para el diagnóstico y tratamiento de todas y cada una de las condiciones médicas. En caso de una emergencia médica, llame al 911. Los enlaces a otros sitios se proporcionan sólo con fines de información, no significa que se les apruebe. © 1997- A.D.A.M., Inc. La reproducción o distribución parcial o total de la información aquí contenida está terminantemente prohibida.
adam.com
© 1997- adam.com Todos los derechos son reservados