Adenocarcinoma; placa de rayos X de tórax
   
Adenocarcinoma; placa de rayos X de tórax

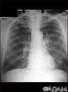
Esta radiografía muestra un adenocarcinoma del pulmón. Hay una zona clara redondeada en la parte superior del pulmón (lado izquierdo de la imagen), a nivel de la segunda costilla. La zona clara tiene bordes irregulares y poco definidos y su densidad no es uniforme. Las enfermedades que pueden presentar este tipo de resultado radiográfico son: tuberculosis o granuloma fungoso y tumores benignos o malignos.


Actualizado: 8/24/2011
Versión en inglés revisada por: David C. Dugdale, III, MD, Professor of Medicine, Division of General Medicine, Department of Medicine, University of Washington School of Medicine; and Yi-Bin Chen, MD, Leukemia/Bone Marrow Transplant Program, Massachusetts General Hospital. Also reviewed by David Zieve, MD, MHA, Medical Director, A.D.A.M., Inc.
Traducción y localización realizada por: DrTango, Inc.
La información aquí contenida no debe utilizarse durante ninguna emergencia médica, ni para el diagnóstico o tratamiento de alguna condición médica. Debe consultarse a un médico con licencia para el diagnóstico y tratamiento de todas y cada una de las condiciones médicas. En caso de una emergencia médica, llame al 911. Los enlaces a otros sitios se proporcionan sólo con fines de información, no significa que se les apruebe. © 1997- A.D.A.M., Inc. La reproducción o distribución parcial o total de la información aquí contenida está terminantemente prohibida.
adam.com
© 1997- adam.com Todos los derechos son reservados