Reticulocitos
   
Reticulocitos

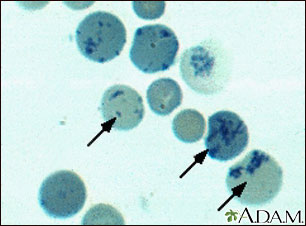
Ante la presencia de algunas anemias, el organismo incrementa la producción de glóbulos rojos (GR) y los envía al torrente sanguíneo antes de que hayan alcanzado su madurez. Estas células inmaduras se denominan reticulocitos y se caracterizan por presentar una red de filamentos y gránulos. Normalmente representan el 1% del conteo de GR, pero pueden exceder el 4% cuando compensan la anemia.


Actualizado: 2/7/2012
Versión en inglés revisada por: Yi-Bin Chen, MD, Leukemia/Bone Marrow Transplant Program, Massachusetts General Hospital. Also reviewed by David Zieve, MD, MHA, Medical Director, A.D.A.M. Health Solutions, Ebix, Inc.
Traducción y localización realizada por: DrTango, Inc.
La información aquí contenida no debe utilizarse durante ninguna emergencia médica, ni para el diagnóstico o tratamiento de alguna condición médica. Debe consultarse a un médico con licencia para el diagnóstico y tratamiento de todas y cada una de las condiciones médicas. En caso de una emergencia médica, llame al 911. Los enlaces a otros sitios se proporcionan sólo con fines de información, no significa que se les apruebe. © 1997- A.D.A.M., Inc. La reproducción o distribución parcial o total de la información aquí contenida está terminantemente prohibida.
adam.com
© 1997- adam.com Todos los derechos son reservados