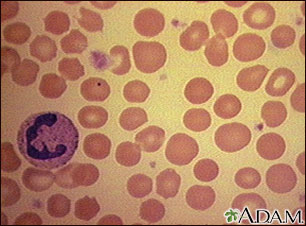
Glóbulos rojos con esferocitosis
   
Glóbulos rojos con esferocitosis

La esferocitosis es un trastorno hereditario de los glóbulos rojos que puede estar relacionado con la anemia leve. Los glóbulos rojos afectados por lo general son pequeños y esféricos y carecen de los centros claros que se observan en los glóbulos rojos normales redondos


Actualizado: 2/7/2012
Versión en inglés revisada por: Yi-Bin Chen, MD, Leukemia/Bone Marrow Transplant Program, Massachusetts General Hospital. Also reviewed by David Zieve, MD, MHA, Medical Director, A.D.A.M. Health Solutions, Ebix, Inc.
Traducción y localización realizada por: DrTango, Inc.
La información aquí contenida no debe utilizarse durante ninguna emergencia médica, ni para el diagnóstico o tratamiento de alguna condición médica. Debe consultarse a un médico con licencia para el diagnóstico y tratamiento de todas y cada una de las condiciones médicas. En caso de una emergencia médica, llame al 911. Los enlaces a otros sitios se proporcionan sólo con fines de información, no significa que se les apruebe. © 1997- A.D.A.M., Inc. La reproducción o distribución parcial o total de la información aquí contenida está terminantemente prohibida.
adam.com
© 1997- adam.com Todos los derechos son reservados