Tomografía computarizada de cáncer de tiroides
   
Tomografía computarizada de cáncer de tiroides

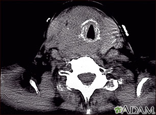
Tomografía computarizada de un tumor en la garganta, consecuencia de un cáncer tiroideo. Este tumor ha rodeado, constreñido y desplazado la tráquea.


Actualizado: 3/22/2012
Versión en inglés revisada por: Shehzad Topiwala, MD, Chief Consultant Endocrinologist, Premier Medical Associates, The Villages, FL. Review provided by VeriMed Healthcare Network. Also reviewed by David Zieve, MD, MHA, Medical Director, A.D.A.M. Health Solutions, Ebix, Inc.
Traducción y localización realizada por: DrTango, Inc.
La información aquí contenida no debe utilizarse durante ninguna emergencia médica, ni para el diagnóstico o tratamiento de alguna condición médica. Debe consultarse a un médico con licencia para el diagnóstico y tratamiento de todas y cada una de las condiciones médicas. En caso de una emergencia médica, llame al 911. Los enlaces a otros sitios se proporcionan sólo con fines de información, no significa que se les apruebe. © 1997- A.D.A.M., Inc. La reproducción o distribución parcial o total de la información aquí contenida está terminantemente prohibida.
adam.com
© 1997- adam.com Todos los derechos son reservados