Tomografía computarizada de cáncer de tiroides
   
Tomografía computarizada de cáncer de tiroides

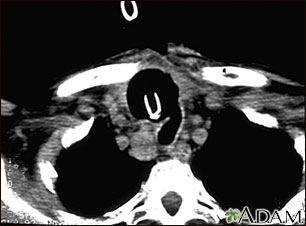
TC de la parte superior del tórax que muestra un tumor maligno (cáncer) tiroideo. Se ha producido la destrucción y muerte (necrosis) del tejido normal en el área oscura alrededor de la tráquea (marcada por la punta blanca en forma de U del tubo respiratorio), como resultado del crecimiento del tumor.


Actualizado: 9/1/2012
Versión en inglés revisada por: David C. Dugdale, III, MD, Professor of Medicine, Division of General Medicine, Department of Medicine, University of Washington School of Medicine. Also reviewed by David Zieve, MD, MHA, Medical Director, A.D.A.M. Health Solutions, Ebix, Inc.
Traducción y localización realizada por: DrTango, Inc.
La información aquí contenida no debe utilizarse durante ninguna emergencia médica, ni para el diagnóstico o tratamiento de alguna condición médica. Debe consultarse a un médico con licencia para el diagnóstico y tratamiento de todas y cada una de las condiciones médicas. En caso de una emergencia médica, llame al 911. Los enlaces a otros sitios se proporcionan sólo con fines de información, no significa que se les apruebe. © 1997- A.D.A.M., Inc. La reproducción o distribución parcial o total de la información aquí contenida está terminantemente prohibida.
adam.com
© 1997- adam.com Todos los derechos son reservados