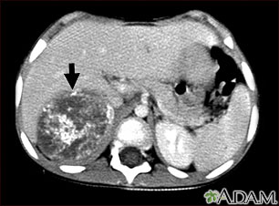
Tomografía computarizada de neuroblastoma en el hígado
   
Tomografía computarizada de neuroblastoma en el hígado

Esta TC del abdomen superior muestra un tumor grande (neuroblastoma) en el lado derecho del abdomen del paciente (lado izquierdo inferior de la imagen). El tumor se encuentra detrás del hígado, empujándolo hacia adelante, y existe la posibilidad de que se disemine dentro del tejido hepático.


Actualizado: 2/7/2012
Versión en inglés revisada por: Yi-Bin Chen, MD, Leukemia/Bone Marrow Transplant Program, Massachusetts General Hospital. Also reviewed by David Zieve, MD, MHA, Medical Director, A.D.A.M., Inc.
Traducción y localización realizada por: DrTango, Inc.
La información aquí contenida no debe utilizarse durante ninguna emergencia médica, ni para el diagnóstico o tratamiento de alguna condición médica. Debe consultarse a un médico con licencia para el diagnóstico y tratamiento de todas y cada una de las condiciones médicas. En caso de una emergencia médica, llame al 911. Los enlaces a otros sitios se proporcionan sólo con fines de información, no significa que se les apruebe. © 1997- A.D.A.M., Inc. La reproducción o distribución parcial o total de la información aquí contenida está terminantemente prohibida.
adam.com
© 1997- adam.com Todos los derechos son reservados