IRM del melanoma del hígado
   
IRM del melanoma del hígado

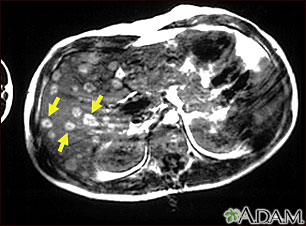
Esta IRM de la parte superior del abdomen muestra tumores múltiples en el hígado que se han diseminado (metástasis) desde un melanoma maligno en un brazo o pierna. Observe las áreas circulares y claras presentes en todo el hígado (en su mayoría ubicadas del lado izquierdo de la pantalla).


Actualizado: 5/4/2012
Versión en inglés revisada por: A.D.A.M. Health Solutions, Ebix, Inc., Editorial Team: David Zieve, MD, MHA, and David R. Eltz. Previously reviewed by Kevin Berman, MD, PhD, Atlanta Center for Dermatologic Disease, Atlanta, GA. Review provided by VeriMed Healthcare Network (7/26/2011).
Traducción y localización realizada por: DrTango, Inc.
La información aquí contenida no debe utilizarse durante ninguna emergencia médica, ni para el diagnóstico o tratamiento de alguna condición médica. Debe consultarse a un médico con licencia para el diagnóstico y tratamiento de todas y cada una de las condiciones médicas. En caso de una emergencia médica, llame al 911. Los enlaces a otros sitios se proporcionan sólo con fines de información, no significa que se les apruebe. © 1997- A.D.A.M., Inc. La reproducción o distribución parcial o total de la información aquí contenida está terminantemente prohibida.
adam.com
© 1997- adam.com Todos los derechos son reservados