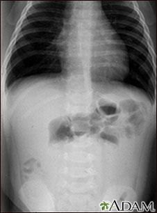
Radiografía de una invaginación
   
Radiografía de una invaginación

Esta radiografía abdominal muestra una condición en la que un asa intestinal se ha deslizado de otra sección del intestino (invaginación), causando hinchazón, reducción del flujo sanguíneo, obstrucción y daño a los tejidos. La invaginación requiere tratamiento de emergencia (enema de bario o cirugía) para evitar muerte del tejido intestinal (necrosis), perforación intestinal, peritonitis y la muerte del paciente.


Actualizado: 7/25/2012
Versión en inglés revisada por: Jacob L. Heller, MD, MHA, Emergency Medicine, Virginia Mason Medical Center, Seattle, Washington; and Joshua Kunin, MD, Consulting Colorectal Surgeon, Zichron Yaakov, Israel. Also reviewed by David Zieve, MD, MHA, Medical Director, A.D.A.M. Health Solutions, Ebix, Inc.
Traducción y localización realizada por: DrTango, Inc.
La información aquí contenida no debe utilizarse durante ninguna emergencia médica, ni para el diagnóstico o tratamiento de alguna condición médica. Debe consultarse a un médico con licencia para el diagnóstico y tratamiento de todas y cada una de las condiciones médicas. En caso de una emergencia médica, llame al 911. Los enlaces a otros sitios se proporcionan sólo con fines de información, no significa que se les apruebe. © 1997- A.D.A.M., Inc. La reproducción o distribución parcial o total de la información aquí contenida está terminantemente prohibida.
adam.com
© 1997- adam.com Todos los derechos son reservados