Quistes del riñón y el hígado; TC
   
Quistes del riñón y el hígado; TC

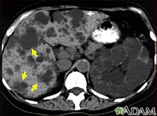
Esta TC abdominal muestra quistes en el hígado y los riñones (enfermedad poliquística). El hígado es el órgano grande situado en la parte izquierda de la pantalla. Las manchas oscuras sobre el hígado son los quistes.


Actualizado: 9/20/2011
Versión en inglés revisada por: David C. Dugdale, III, MD, Professor of Medicine, Division of General Medicine, Department of Medicine, University of Washington School of Medicine; and Herbert Y. Lin, MD, PhD, Nephrologist, Massachusetts General Hospital; Associate Professor of Medicine, Harvard Medical School. Also reviewed by David Zieve, MD, MHA, Medical Director, A.D.A.M., Inc.
Traducción y localización realizada por: DrTango, Inc.
La información aquí contenida no debe utilizarse durante ninguna emergencia médica, ni para el diagnóstico o tratamiento de alguna condición médica. Debe consultarse a un médico con licencia para el diagnóstico y tratamiento de todas y cada una de las condiciones médicas. En caso de una emergencia médica, llame al 911. Los enlaces a otros sitios se proporcionan sólo con fines de información, no significa que se les apruebe. © 1997- A.D.A.M., Inc. La reproducción o distribución parcial o total de la información aquí contenida está terminantemente prohibida.
adam.com
© 1997- adam.com Todos los derechos son reservados