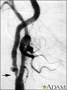
Estenosis carotídea; radiografía de la arteria derecha
   
Estenosis carotídea; radiografía de la arteria derecha

Angiograma de la arteria carótida derecha que muestra un estrechamiento severo (estenosis) de la arteria carótida interna justo más allá de la bifurcación carotídea. En esta diapositiva se ve un agrandamiento de la arteria o ulceración en el área luego de la estenosis. Obsérvese el segmento estrecho cerca del extremo inferior de la imagen.


Actualizado: 6/4/2012
Versión en inglés revisada por: Shehzad Topiwala, MD, Chief Consultant Endocrinologist, Premier Medical Associates, The Villages, FL. Review provided by VeriMed Healthcare Network. Also reviewed by David Zieve, MD, MHA, Medical Director, A.D.A.M. Health Solutions, Ebix, Inc.
Traducción y localización realizada por: DrTango, Inc.
La información aquí contenida no debe utilizarse durante ninguna emergencia médica, ni para el diagnóstico o tratamiento de alguna condición médica. Debe consultarse a un médico con licencia para el diagnóstico y tratamiento de todas y cada una de las condiciones médicas. En caso de una emergencia médica, llame al 911. Los enlaces a otros sitios se proporcionan sólo con fines de información, no significa que se les apruebe. © 1997- A.D.A.M., Inc. La reproducción o distribución parcial o total de la información aquí contenida está terminantemente prohibida.
adam.com
© 1997- adam.com Todos los derechos son reservados