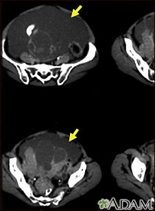
Tomografía computarizada de ascitis con cáncer ovárico
   
Ascitis con cáncer ovárico; TC

Esta tomografía computarizada de la parte baja del abdomen muestra una cantidad enorme de líquido abdominal libre (ascitis) en una paciente con cáncer de ovario.


Actualizado: 10/16/2011
Versión en inglés revisada por: David Zieve, MD, MHA, Medical Director, A.D.A.M., Inc. and George F. Longstreth, MD, Department of Gastroenterology, Kaiser Permanente Medical Care Program, San Diego, California.
Traducción y localización realizada por: DrTango, Inc.
La información aquí contenida no debe utilizarse durante ninguna emergencia médica, ni para el diagnóstico o tratamiento de alguna condición médica. Debe consultarse a un médico con licencia para el diagnóstico y tratamiento de todas y cada una de las condiciones médicas. En caso de una emergencia médica, llame al 911. Los enlaces a otros sitios se proporcionan sólo con fines de información, no significa que se les apruebe. © 1997- A.D.A.M., Inc. La reproducción o distribución parcial o total de la información aquí contenida está terminantemente prohibida.
adam.com
© 1997- adam.com Todos los derechos son reservados