Ruptura aórtica, radiografía de tórax
   
Ruptura aórtica, radiografía de tórax

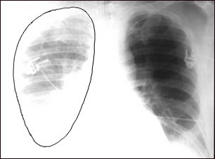
En esta imagen se puede apreciar una ruptura aórtica (rompimiento de la aorta, arteria mayor que viene del corazón). En este caso, la causa es una perforación traumática de la aorta torácica. Así aparece la radiografía cuando el tórax está lleno de sangre (hemotórax del lado derecho), visto aquí como una nubosidad al lado izquierdo de la imagen.


Actualizado: 7/9/2012
Versión en inglés revisada por: Allen J. Blaivas, DO, Clinical Assistant Professor of Medicine UMDNJ-NJMS, Attending Physician in the Division of Pulmonary, Critical Care, and Sleep Medicine, Department of Veteran Affairs, VA New Jersey Health Care System, East Orange, NJ. Review provided by VeriMed Healthcare Network. Also reviewed by David Zieve, MD, MHA, Medical Director, A.D.A.M. Health Solutions, Ebix, Inc.
Traducción y localización realizada por: DrTango, Inc.
La información aquí contenida no debe utilizarse durante ninguna emergencia médica, ni para el diagnóstico o tratamiento de alguna condición médica. Debe consultarse a un médico con licencia para el diagnóstico y tratamiento de todas y cada una de las condiciones médicas. En caso de una emergencia médica, llame al 911. Los enlaces a otros sitios se proporcionan sólo con fines de información, no significa que se les apruebe. © 1997- A.D.A.M., Inc. La reproducción o distribución parcial o total de la información aquí contenida está terminantemente prohibida.
adam.com
© 1997- adam.com Todos los derechos son reservados