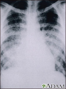
Chickenpox, acute pneumonia - chest X-ray
This chest X-ray shows cloudiness throughout the lungs, caused by acute pneumonia due to chickenpox. Pneumonia, as a complication of chickenpox, rarely occurs in children, but occurs in about one-fifth of adults with chickenpox.

|
Review Date:
12/26/2011
Reviewed By:
Harvey Simon, MD, Editor-in-Chief, Associate Professor of Medicine, Harvard Medical School; Senior Physician, Massachusetts General Hospital. |
The information provided herein should not be used during any medical emergency or for the diagnosis or treatment of any medical condition. A licensed medical professional should be consulted for diagnosis and treatment of any and all medical conditions. Links to other sites are provided for information only -- they do not constitute endorsements of those other sites. © 1997-
A.D.A.M., Inc. Any duplication or distribution of the information contained herein is strictly prohibited.