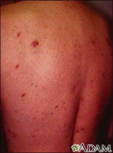
Kaposi's sarcoma on the back
   
Kaposi's sarcoma on the back

Kaposi's sarcoma was once a rare malignancy of the blood vessels but is now associated with AIDS. It is more frequently associated with AIDS in homosexual men than AIDS in IV drug users. Recent research has suggested that this malignancy may be caused by a newly discovered herpes virus. The malignancy results in purplish, grape-like lesions in the skin, gastrointestinal tract, and other organs.


Review Date: 10/6/2012
Reviewed By: David C. Dugdale, III, MD, Professor of Medicine, Division of General Medicine, Department of Medicine, University of Washington School of Medicine. Jatin M. Vyas, MD, PhD, Assistant Professor in Medicine, Harvard Medical School; Assistant in Medicine, Division of Infectious Disease, Department of Medicine, Massachusetts General Hospital. Also reviewed by David Zieve, MD, MHA, Medical Director, A.D.A.M. Health Solutions, Ebix, Inc.
The information provided herein should not be used during any medical emergency or for the diagnosis or treatment of any medical condition. A licensed medical professional should be consulted for diagnosis and treatment of any and all medical conditions. Call 911 for all medical emergencies. Links to other sites are provided for information only -- they do not constitute endorsements of those other sites. © 1997- A.D.A.M., Inc. Any duplication or distribution of the information contained herein is strictly prohibited.
adam.com
© 1997- adam.com All rights reserved.