Totally anomalous pulmonary venous return, x-ray
   
Totally anomalous pulmonary venous return, X-ray

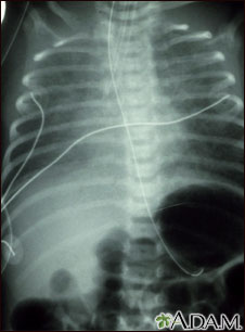
Totally anomalous pulmonary venous return (TAPVR) is a form of congenital heart disease. This x-ray shows an enlarged heart, a large liver, and increased pulmonary vascularity.


Review Date: 12/1/2011
Reviewed By: Kurt R. Schumacher, MD, Pediatric Cardiology, University of Michigan Congenital Heart Center, Ann Arbor, MI. Review provided by VeriMed Healthcare Network. Also reviewed by David Zieve, MD, MHA, Medical Director, A.D.A.M., Inc.
The information provided herein should not be used during any medical emergency or for the diagnosis or treatment of any medical condition. A licensed medical professional should be consulted for diagnosis and treatment of any and all medical conditions. Call 911 for all medical emergencies. Links to other sites are provided for information only -- they do not constitute endorsements of those other sites. © 1997- A.D.A.M., Inc. Any duplication or distribution of the information contained herein is strictly prohibited.
adam.com
© 1997- adam.com All rights reserved.