Ultrasound, normal fetus - profile view
   
Ultrasound, normal fetus - profile view

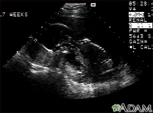
This is a normal fetal ultrasound performed at 17 weeks gestation. In the middle of the screen, the profile of the fetus is visible. The outline of the head can be seen in the left middle of the screen with the face down and the body in the fetal position extending to the lower right of the head. The outline of the spine can be seen on the right middle side of the screen.


Review Date: 11/8/2012
Reviewed By: Susan Storck, MD, FACOG, Chief, Eastside Department of Obstetrics and Gynecology, Group Health Cooperative of Puget Sound, Bellevue, Washington; Clinical Teaching Faculty, Department of Obstetrics and Gynecology, University of Washington School of Medicine. Also reviewed by A.D.A.M. Health Solutions, Ebix, Inc., Editorial Team: David Zieve, MD, MHA, David R. Eltz, Stephanie Slon, and Nissi Wang.
The information provided herein should not be used during any medical emergency or for the diagnosis or treatment of any medical condition. A licensed medical professional should be consulted for diagnosis and treatment of any and all medical conditions. Call 911 for all medical emergencies. Links to other sites are provided for information only -- they do not constitute endorsements of those other sites. © 1997- A.D.A.M., Inc. Any duplication or distribution of the information contained herein is strictly prohibited.
adam.com
© 1997- adam.com All rights reserved.