Ultrasound, normal fetus - head measurements
   
Ultrasound, normal fetus - head measurements

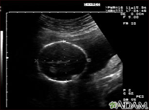
This is a normal fetal ultrasound performed at 19 weeks gestation. Many health care providers like to have fetal measurements to verify the size of the fetus and to look for any abnormalities. This ultrasound is of a head measurement, indicated by the cross hairs and dotted lines.


Review Date: 11/8/2012
Reviewed By: Susan Storck, MD, FACOG, Chief, Eastside Department of Obstetrics and Gynecology, Group Health Cooperative of Puget Sound, Bellevue, Washington; Clinical Teaching Faculty, Department of Obstetrics and Gynecology, University of Washington School of Medicine. Also reviewed by A.D.A.M. Health Solutions, Ebix, Inc., Editorial Team: David Zieve, MD, MHA, David R. Eltz, Stephanie Slon, and Nissi Wang.
The information provided herein should not be used during any medical emergency or for the diagnosis or treatment of any medical condition. A licensed medical professional should be consulted for diagnosis and treatment of any and all medical conditions. Call 911 for all medical emergencies. Links to other sites are provided for information only -- they do not constitute endorsements of those other sites. © 1997- A.D.A.M., Inc. Any duplication or distribution of the information contained herein is strictly prohibited.
adam.com
© 1997- adam.com All rights reserved.