Ultrasound, normal fetus - face
   
Ultrasound, normal fetus - face

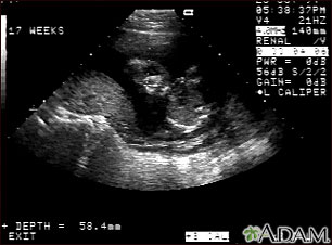
This is a normal ultrasound of the fetus performed at 17 weeks gestation. The fetal face can be seen in the middle of the screen. The head is tilted left toward the placenta, which can be seen as a mound in the left of the ultrasound image. Both eyes are visible, and the area of white within the eye is the lens. Other facial features, such as the nose and mouth, are also visible.


Review Date: 11/8/2012
Reviewed By: Susan Storck, MD, FACOG, Chief, Eastside Department of Obstetrics and Gynecology, Group Health Cooperative of Puget Sound, Bellevue, Washington; Clinical Teaching Faculty, Department of Obstetrics and Gynecology, University of Washington School of Medicine. Also reviewed by A.D.A.M. Health Solutions, Ebix, Inc., Editorial Team: David Zieve, MD, MHA, David R. Eltz, Stephanie Slon, and Nissi Wang.
The information provided herein should not be used during any medical emergency or for the diagnosis or treatment of any medical condition. A licensed medical professional should be consulted for diagnosis and treatment of any and all medical conditions. Call 911 for all medical emergencies. Links to other sites are provided for information only -- they do not constitute endorsements of those other sites. © 1997- A.D.A.M., Inc. Any duplication or distribution of the information contained herein is strictly prohibited.
adam.com
© 1997- adam.com All rights reserved.