Ultrasound, normal placenta - Braxton Hicks
   
Ultrasound, normal placenta - Braxton Hicks

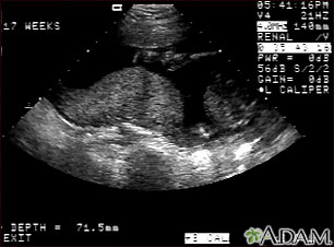
This is a normal ultrasound performed at 17 weeks gestation. It shows the placenta during a normal (Braxton Hicks) contraction. Throughout the pregnancy, the uterus periodically contracts to facilitate better blood flow through the placenta and the fetus. In this ultrasound, the placenta can be seen as the mound-shaped object in the middle of the screen. At the bottom of the image, the mother's vertebra can be seen as a round object. When the uterus is not contracting, the placenta would appear much flatter.


Review Date: 11/8/2012
Reviewed By: Susan Storck, MD, FACOG, Chief, Eastside Department of Obstetrics and Gynecology, Group Health Cooperative of Puget Sound, Bellevue, Washington; Clinical Teaching Faculty, Department of Obstetrics and Gynecology, University of Washington School of Medicine. Also reviewed by A.D.A.M. Health Solutions, Ebix, Inc., Editorial Team: David Zieve, MD, MHA, David R. Eltz, Stephanie Slon, and Nissi Wang.
The information provided herein should not be used during any medical emergency or for the diagnosis or treatment of any medical condition. A licensed medical professional should be consulted for diagnosis and treatment of any and all medical conditions. Call 911 for all medical emergencies. Links to other sites are provided for information only -- they do not constitute endorsements of those other sites. © 1997- A.D.A.M., Inc. Any duplication or distribution of the information contained herein is strictly prohibited.
adam.com
© 1997- adam.com All rights reserved.