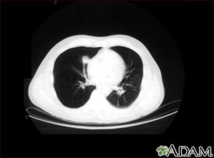
Lung nodule, right lower lung - CT scan
   
Lung nodule, right lower lung - CT scan

A CT scan showing a mass in right lower chest near the heart (left side of photograph).


Review Date: 8/30/2012
Reviewed By: David C. Dugdale, III, MD, Professor of Medicine, Division of General Medicine, Department of Medicine, University of Washington School of Medicine; Denis Hadjiliadis, MD, Assistant Professor of Medicine, Division of Pulmonary, Allergy and Critical Care, University of Pennsylvania, Philadelphia, PA. Also reviewed by David Zieve, MD, MHA, Medical Director, A.D.A.M. Health Solutions, Ebix, Inc.
The information provided herein should not be used during any medical emergency or for the diagnosis or treatment of any medical condition. A licensed medical professional should be consulted for diagnosis and treatment of any and all medical conditions. Call 911 for all medical emergencies. Links to other sites are provided for information only -- they do not constitute endorsements of those other sites. © 1997- A.D.A.M., Inc. Any duplication or distribution of the information contained herein is strictly prohibited.
adam.com
© 1997- adam.com All rights reserved.