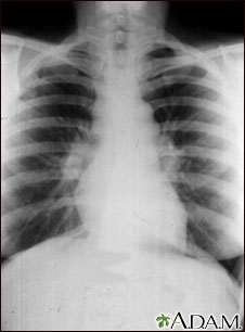
Sarcoid, stage I - chest x-ray
   
Sarcoid, stage I - chest X-ray

Sarcoid is primarily a lung (pulmonary) disease. In the early stages, a chest film may show enlargement of lymph nodes in the center of the chest near the heart (mediastinum).


Review Date: 8/28/2012
Reviewed By: Luc Jasmin, MD, PhD, Department of Neurosurgery at Cedars-Sinai Medical Center, Los Angeles, and Department of Anatomy at UCSF, San Francisco, CA. Review provided by VeriMed Healthcare Network. David C. Dugdale, III, MD, Professor of Medicine, Division of General Medicine, Department of Medicine, University of Washington School of Medicine. Also reviewed by David Zieve, MD, MHA, Medical Director, A.D.A.M. Health Solutions, Ebix, Inc.
The information provided herein should not be used during any medical emergency or for the diagnosis or treatment of any medical condition. A licensed medical professional should be consulted for diagnosis and treatment of any and all medical conditions. Call 911 for all medical emergencies. Links to other sites are provided for information only -- they do not constitute endorsements of those other sites. © 1997- A.D.A.M., Inc. Any duplication or distribution of the information contained herein is strictly prohibited.
adam.com
© 1997- adam.com All rights reserved.