Reticulocytes
   
Reticulocytes

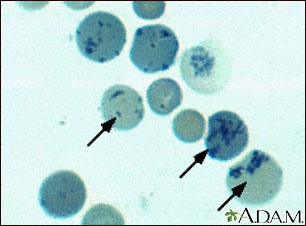
In the presence of some anemias, the body increases production of red blood cells (RBCs), and sends these cells into the bloodstream before they are mature. These slightly immature cells are called reticulocytes, and are characterized by a network of filaments and granules. Reticulocytes normally make up 1% of the total RBC count, but may exceed levels of 4% when compensating for anemia.


Review Date: 2/7/2012
Reviewed By: Yi-Bin Chen, MD, Leukemia/Bone Marrow Transplant Program, Massachusetts General Hospital. Also reviewed by David Zieve, MD, MHA, Medical Director, A.D.A.M. Health Solutions, Ebix, Inc.
The information provided herein should not be used during any medical emergency or for the diagnosis or treatment of any medical condition. A licensed medical professional should be consulted for diagnosis and treatment of any and all medical conditions. Call 911 for all medical emergencies. Links to other sites are provided for information only -- they do not constitute endorsements of those other sites. © 1997- A.D.A.M., Inc. Any duplication or distribution of the information contained herein is strictly prohibited.
adam.com
© 1997- adam.com All rights reserved.