Thyroid cancer - CT scan
   
Thyroid cancer - CT scan

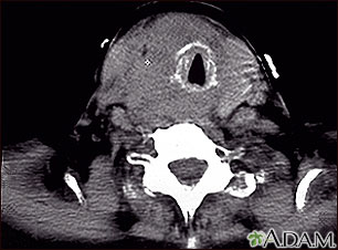
This CT scan shows a thyroid cancer tumor in the throat, encircling, narrowing, and displacing the windpipe (trachea).


Review Date: 3/22/2012
Reviewed By: Shehzad Topiwala, MD, Chief Consultant Endocrinologist, Premier Medical Associates, The Villages, FL. Review provided by VeriMed Healthcare Network. Also reviewed by David Zieve, MD, MHA, Medical Director, A.D.A.M. Health Solutions, Ebix, Inc.
The information provided herein should not be used during any medical emergency or for the diagnosis or treatment of any medical condition. A licensed medical professional should be consulted for diagnosis and treatment of any and all medical conditions. Call 911 for all medical emergencies. Links to other sites are provided for information only -- they do not constitute endorsements of those other sites. © 1997- A.D.A.M., Inc. Any duplication or distribution of the information contained herein is strictly prohibited.
adam.com
© 1997- adam.com All rights reserved.