Melanoma of the liver - MRI scan
   
Melanoma of the liver - MRI scan

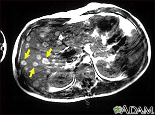
This upper abdominal MRI scan shows multiple tumors in the liver which have spread (metastasized) from a malignant melanoma in an arm or leg. Note the light circular areas throughout the liver (seen mostly on the left side of the screen).


Review Date: 5/4/2012
Reviewed By: A.D.A.M. Health Solutions, Ebix, Inc., Editorial Team: David Zieve, MD, MHA, and David R. Eltz. Previously reviewed by Kevin Berman, MD, PhD, Atlanta Center for Dermatologic Disease, Atlanta, GA. Review provided by VeriMed Healthcare Network (7/26/2011).
The information provided herein should not be used during any medical emergency or for the diagnosis or treatment of any medical condition. A licensed medical professional should be consulted for diagnosis and treatment of any and all medical conditions. Call 911 for all medical emergencies. Links to other sites are provided for information only -- they do not constitute endorsements of those other sites. © 1997- A.D.A.M., Inc. Any duplication or distribution of the information contained herein is strictly prohibited.
adam.com
© 1997- adam.com All rights reserved.