Liver and spleen cysts - CT scan
   
Liver and spleen cysts - CT scan

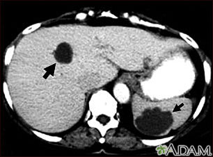
This abdominal CT scan shows multiple cysts in the liver and spleen. Note the dark circular cyst in the liver (left side of screen) and the large, irregular, circular cyst in the spleen (bottom, right side of screen).


Review Date: 9/20/2011
Reviewed By: David C. Dugdale, III, MD, Professor of Medicine, Division of General Medicine, Department of Medicine, University of Washington School of Medicine; and Herbert Y. Lin, MD, PhD, Nephrologist, Massachusetts General Hospital; Associate Professor of Medicine, Harvard Medical School. Also reviewed by David Zieve, MD, MHA, Medical Director, A.D.A.M., Inc.
The information provided herein should not be used during any medical emergency or for the diagnosis or treatment of any medical condition. A licensed medical professional should be consulted for diagnosis and treatment of any and all medical conditions. Call 911 for all medical emergencies. Links to other sites are provided for information only -- they do not constitute endorsements of those other sites. © 1997- A.D.A.M., Inc. Any duplication or distribution of the information contained herein is strictly prohibited.
adam.com
© 1997- adam.com All rights reserved.