Liver echinococcus - CT scan
   
Liver echinococcus - CT scan

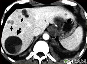
This upper abdominal CT scan shows multiple cysts in the liver, caused by dog tapeworm (echinococcus). Note the large circular cyst (seen on the left side of the screen) and multiple smaller cysts throughout the liver.


Review Date: 8/1/2012
Reviewed By: Neil K. Kaneshiro, MD, MHA, Clinical Assistant Professor of Pediatrics, University of Washington School of Medicine. Also reviewed by David Zieve, MD, MHA, Medical Director, A.D.A.M. Health Solutions, Ebix, Inc.
The information provided herein should not be used during any medical emergency or for the diagnosis or treatment of any medical condition. A licensed medical professional should be consulted for diagnosis and treatment of any and all medical conditions. Call 911 for all medical emergencies. Links to other sites are provided for information only -- they do not constitute endorsements of those other sites. © 1997- A.D.A.M., Inc. Any duplication or distribution of the information contained herein is strictly prohibited.
adam.com
© 1997- adam.com All rights reserved.