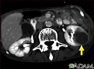
Kidney metastases, CT scan
   
Kidney metastases, CT scan

A CT scan of the middle abdomen showing metastasis (cancer that has spread) in the left kidney in a patient with carcinoma of the lung. Note the large dark circular tumor in the kidney on the right side of the picture.


Review Date: 3/14/2012
Reviewed By: David C. Dugdale, III, MD, Professor of Medicine, Division of General Medicine, Department of Medicine, University of Washington School of Medicine. Yi-Bin Chen, MD, Leukemia/Bone Marrow Transplant Program, Massachusetts General Hospital. Also reviewed by David Zieve, MD, MHA, Medical Director, A.D.A.M. Health Solutions, Ebix, Inc.
The information provided herein should not be used during any medical emergency or for the diagnosis or treatment of any medical condition. A licensed medical professional should be consulted for diagnosis and treatment of any and all medical conditions. Call 911 for all medical emergencies. Links to other sites are provided for information only -- they do not constitute endorsements of those other sites. © 1997- A.D.A.M., Inc. Any duplication or distribution of the information contained herein is strictly prohibited.
adam.com
© 1997- adam.com All rights reserved.