Intussusception - x-ray
   
Intussusception - X-ray

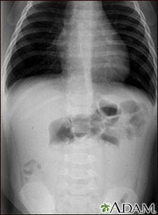
This abdominal x-ray shows an intestinal condition in which a loop of bowel has slipped into another section of bowel (intussusception), causing swelling, reduced blood flow, obstruction, and tissue damage. Intussusception requires emergency treatment (barium enema or surgery) to prevent intestinal tissue death (necrosis), intestinal perforation, peritonitis, and death.


Review Date: 7/25/2012
Reviewed By: Jacob L. Heller, MD, MHA, Emergency Medicine, Virginia Mason Medical Center, Seattle, Washington; and Joshua Kunin, MD, Consulting Colorectal Surgeon, Zichron Yaakov, Israel. Also reviewed by David Zieve, MD, MHA, Medical Director, A.D.A.M. Health Solutions, Ebix, Inc.
The information provided herein should not be used during any medical emergency or for the diagnosis or treatment of any medical condition. A licensed medical professional should be consulted for diagnosis and treatment of any and all medical conditions. Call 911 for all medical emergencies. Links to other sites are provided for information only -- they do not constitute endorsements of those other sites. © 1997- A.D.A.M., Inc. Any duplication or distribution of the information contained herein is strictly prohibited.
adam.com
© 1997- adam.com All rights reserved.