Hemangioma - angiogram
   
Hemangioma - angiogram

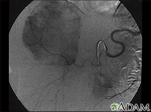
This angiogram (an X-ray taken after dye has been injected into the blood stream) shows a mass of blood vessels (hemangioma) in the liver.


Review Date: 4/17/2011
Reviewed By: David C. Dugdale, III, MD, Professor of Medicine, Division of General Medicine, Department of Medicine, University of Washington School of Medicine; and George F. Longstreth, MD, Department of Gastroenterology, Kaiser Permanente Medical Care Program, San Diego, California. Also reviewed by David Zieve, MD, MHA, Medical Director, A.D.A.M., Inc.
The information provided herein should not be used during any medical emergency or for the diagnosis or treatment of any medical condition. A licensed medical professional should be consulted for diagnosis and treatment of any and all medical conditions. Call 911 for all medical emergencies. Links to other sites are provided for information only -- they do not constitute endorsements of those other sites. © 1997- A.D.A.M., Inc. Any duplication or distribution of the information contained herein is strictly prohibited.
adam.com
© 1997- adam.com All rights reserved.