Cholecystolithiasis
   
Cholecystolithiasis

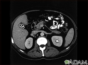
Cholecystolithiasis. CT scan of the upper abdomen showing multiple gallstones.


Review Date: 8/17/2011
Reviewed By: Ann Rogers, MD, Associate Professor of Surgery; Director, Penn State Surgical Weight Loss Program, Penn State Milton S. Hershey Medical Center. Also reviewed by David Zieve, MD, MHA, Medical Director, A.D.A.M., Inc.
The information provided herein should not be used during any medical emergency or for the diagnosis or treatment of any medical condition. A licensed medical professional should be consulted for diagnosis and treatment of any and all medical conditions. Call 911 for all medical emergencies. Links to other sites are provided for information only -- they do not constitute endorsements of those other sites. © 1997- A.D.A.M., Inc. Any duplication or distribution of the information contained herein is strictly prohibited.
adam.com
© 1997- adam.com All rights reserved.